Odsłonięte szyjki zębowe to problem, który dotyczy wielu pacjentów, najczęściej w średnim wieku. Z pozoru temat może wydawać się błahym problemem, jednak nie należy lekceważyć tego stanu, gdyż może doprowadzić do poważnych zaburzeń w jamie ustnej. Specjalistą, do którego należy udać się z takim problemem, jest lekarz, który zajmuje się chorobami przyzębia, czyli periodontolog.
Jednym z najczęstszych objawów odsłoniętych szyjek zębów jest pojawiający się ból w tych okolicach, głównie spowodowany zmianami temperatury w jamie ustnej. To właśnie z tego powodu pacjent najczęściej zaczyna szukać pomocy i pojawia się w gabinecie stomatologicznym.
Odsłonięte szyjki zębowe są wrażliwe na zimne oraz gorące pokarmy, a także na niektóre substancje chemiczne zawarte w spożywanych potrawach, w szczególności słodkie oraz kwaśne potrawy.
Nadwrażliwość zębów w przypadku odsłoniętych szyjek zębowych może pojawiać się nawet podczas oddychania zimnym powietrzem, czy też szczotkowania zębów. Wówczas odczuwalny jest charakterystyczny przeszywający ból, który potrafi wprowadzić chwilowy dyskomfort. Mowa wtedy o aktywnym przebiegu choroby.
Stabilny proces choroby, w którym odsłaniają się szyjki zębowe, postępuje powoli i nie wiąże się z dużym bólem, często nawet poza walorem estetycznym nie daje żadnych dolegliwości bólowych związanych z nadwrażliwością zębów.
Powód kosmetyczny, to drugi bardzo częsty powód pojawiania się pacjentów w gabinecie stomatologicznym. Obnażone szyjki zębowe oraz odsłonięcie korzenia zęba wpływa na nieestetyczne wydłużenie się, oraz ich obniżanie w dziąśle. Nie tylko pogarsza to ogólny wygląd uśmiechu, ale również może doprowadzić do innych zaburzeń zgryzowych.
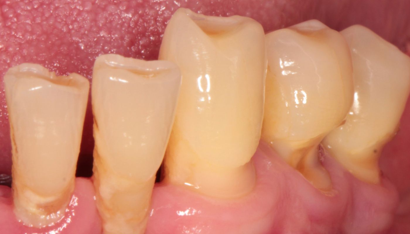
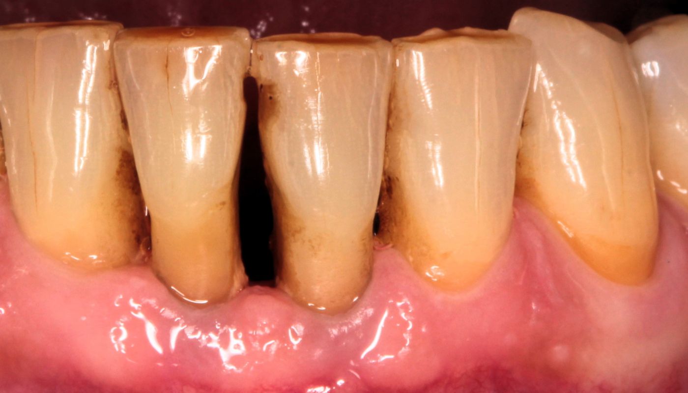
Odsłonięte szyjki zębowe narażone są większą adhezję (przyleganie) płytki nazębnej oraz osadzanie się kamienia. Dodatkowo, w wyniku niekorzystnej akumulacji płytki bakteryjnej oraz różnicy grubości szkliwa przy szyjce zęba w stosunku do korony, dochodzi bardzo często do zmian próchnicowych. Leczenie próchnicy w przypadku odsłoniętych szyjek jest obarczone dodatkowym ryzykiem powikłań (np. konieczność leczeni kanałowego). Wynika to z lokalizacji oraz bliskości miazgi.

Recesja dziąseł, czyli odsłonięte szyjki zębowe mogą pojawiać się z wielu powodów. Należy wyszczególnić recesje spowodowane przez czynniki patologiczne wynikające z namnażających się bakterii oraz recesje o uwarunkowaniach anatomicznych, wynikających z budowy zębów, kości, wady zgryzu oraz cienkiego fenotypu dziąseł.
Odsłonięcie szyjek zębowych, gdzie pojawia się stan zapalny, spowodowane jest nagromadzeniem się płytki bakteryjnej, która doprowadza do powstawania kamienia nazębnego. Nieleczona wiele lat choroba przyzębia, zwana paradontozą (z łac.periodontitis) powoduje trwałe zanikanie dziąseł i kości, a w konsekwencji odsłonięte szyjki oraz powierzchnie korzeni.
Niewłaściwa higiena zębów czy palenie papierosów stwarzają idealne warunki narastania płytki nazębnej na powierzchni zębów. Zalegające złogi nazębne stykając się z dziąsłami powodują ich drażnienie, przez co stwarzają podłoże do wytwarzania stanu zapalnego przyzębia. Dochodzi do obniżania się nasady zęba oraz odsłaniania szyjek zębowych.

Najczęściej popełnianym błędem przez pacjentów jest rezygnowanie z mycia zębów czy stosowania nici dentystycznej, w momencie kiedy pojawi się krwawienie dziąseł. Pojawienie się krwi już przy delikatnym oczyszczaniu zębów powinno być dla każdego pacjenta lampką ostrzegawczą, że należy poprawić higienę jamy ustnej.
Bagatelizowanie tego stanu nie tylko powoduje postępowanie problemu odsłoniętych szyjek zębowych, ale również nieleczone przez długi czas może doprowadzić do ruchomości, a nawet utraty zębów.
nieprawidłowa technika szczotkowania
Zbyt mocne szczotkowanie, szorowanie zębów mogą doprowadzać do urazów na powierzchni zębów powodując cofanie się dziąsła. Stosowanie szczoteczki manualnej o twardym włosiu, dodatkowo zbyt duża siła nacisku podrażniają szyjki zębowe. Najczęściej narażeni na ich odsłanianie są pacjenci o cienkim fenotypie dziąseł.
Wielu pacjentów nie potrafi stosować odpowiednich ruchów podczas mycia zębów, dlatego warto udać się do higienistki stomatologicznej, która przeprowadzi instruktaż higieny jamy ustnej. Odpowiednia technika szczotkowania, np. ruchy wymiatające nie tylko skutecznie usuwają płytkę nazębną, ale przede wszystkim uchronią pacjenta przed odsłoniętymi szyjkami zębowymi.

Podczas takiej wizyty również zostaną dobrane odpowiednie preparaty, takie jak pasta, płyn czy też szczoteczki między zębowe, które bardzo często są przez pacjentów pomijane.
Nieprawidłowe ustawienie zębów w łuku
Problem odsłoniętych szyjek zębowych często zależny jest od wady zgryzu. Może być konsekwencją nieprawidłowego ustawienia zębów, ich nadmiernego stłoczenia czy nachylenia w kierunku wargowym.
Ten problem najczęściej dotyczy również pacjentów o cienkim fenotypie dziąsła oraz osób o niekorzystnym przyczepie wędzidełka (niski przyczep wędzidełka) powodującym ruchy pociągania.
Przeciążenia zębów
W przypadku dużych braków zębowych bardzo często obserwuje się zęby o odsłoniętych szyjkach. W momencie przenoszenia sił, podczas żucia czy gryzienia na jedną stronę łuku, dochodzi bowiem do nierównomiernego rozłożenia sił. Wówczas na powierzchniach nadmiernie obciążonych zębów, mogą pojawiać się również ubytki klinowe niepróchnicowego pochodzenia.
Chorobliwe zgrzytanie zębami tzw. bruksizm także przyczynia się do wzrostu liczby osób z odsłoniętymi szyjkami zębowymi. Inne przyczyny to:
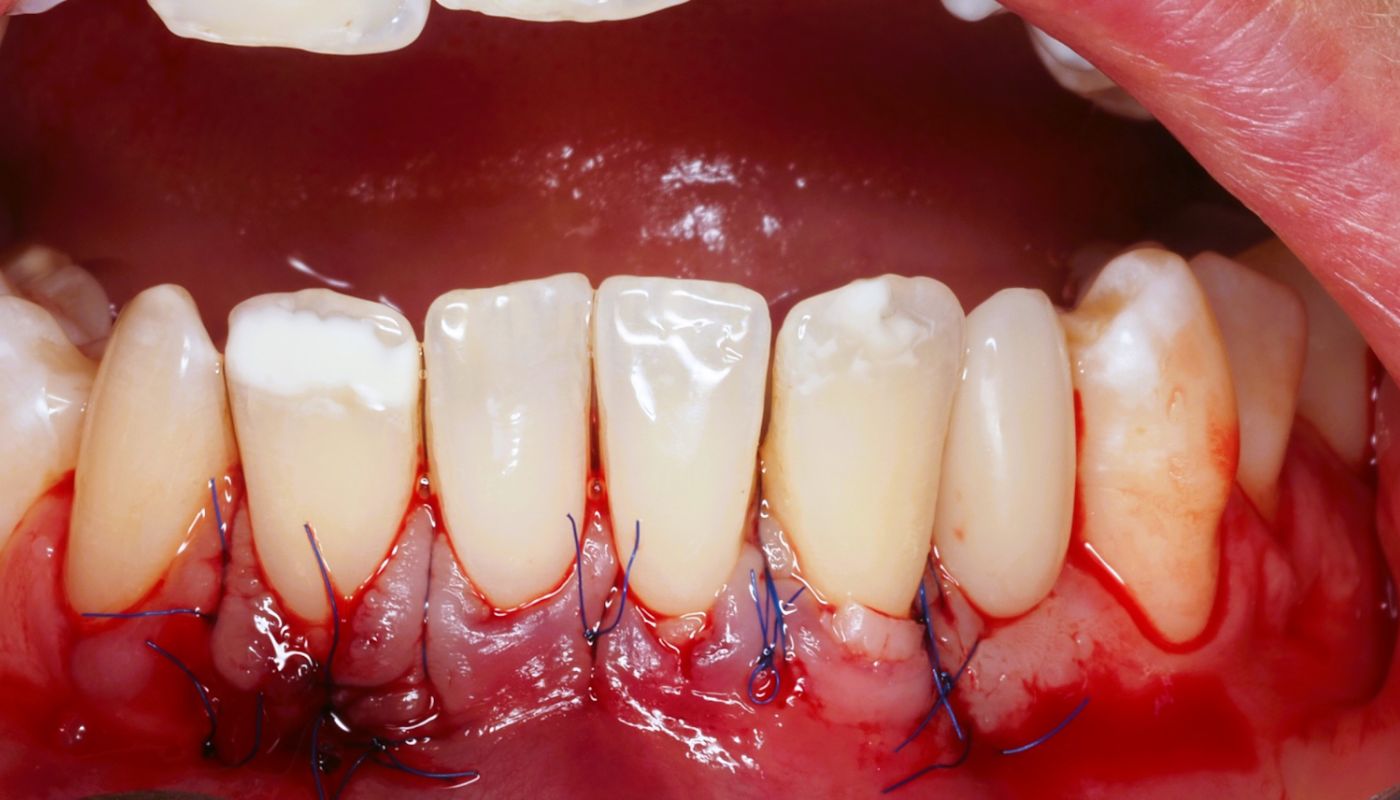
Najczęściej wykonywaną procedurą podczas leczenia widocznych szyjek jest chirurgiczne pokrycie części korzenia za pomocą autogennej tkanki, którą pobiera się z podniebienia. Metoda ta najczęściej jest wykonywana w periodontologii i jak dotąd tego typu leczenie przynosi najlepsze rezultaty.

Przeczep tkanek poprawia ogólną estetykę linii uśmiechu jak również wpływa na zminimalizowanie nadwrażliwości. Zdarza się, że metoda ta wykorzystywana jest po leczeniu ortodontycznym lub w trakcie, głównie u pacjentów z cienkim fenotypem dziąsła.

Zabieg polega na usunięciu kamienia podziąsłowego, z wykorzystaniem specjalnych narzędzi zwanych kiretami. Podczas zabiegu lekarz usuwa kamień nazębny, następnie poleruje powierzchnie korzenia oraz szyjki zębowej, nie naruszając przy tym reszty zęba. Czynnością kończącą zabieg jest nałożenie specjalnego preparatu z fluorem, którego zadaniem jest zamknięcie kanalików zębiny.
Działanie to ma głównie na celu zniwelowanie nadwrażliwości, która mogłaby pojawić się u pacjenta po oczyszczeniu zębów ze złogów kamienia. W przypadku pacjentów, gdzie nastąpiło duże skumulowanie się kamienia nazębnego, wszelkiego rodzaju zabiegi, jak np. przeszczep tkanek, zawsze muszą być poprzedzone wykonaniem kiretażu!
pokrywanie materiałem kompozytowym
Aby zabezpieczyć szyjki zębowe przed działaniem czynników powodujących ból, czasami pokrywa się je materiałem na bazie kompozytów imitujących szkliwo. Zabieg, oprócz znoszenia dolegliwości bólowych, ma na celu również odtworzenie estetyki - przywrócenie zdrowego wyglądu jamy ustnej.

Zalecenia podczas leczenia odsłoniętych szyjek zębowych: