Metoda All-on-6 to innowacyjna forma leczenia implantologicznego, która umożliwia pełną rekonstrukcję łuku zębowego przy użyciu sześciu implantów dentystycznych. Implanty te są chirurgicznie wszczepiane w kość szczęki lub żuchwy, a następnie stanowią stabilne podparcie dla odbudowy mocowanej na implantach.
Rozwiązanie to doskonale sprawdza się u pacjentów z całkowitym bezzębiem, którzy poszukują alternatywy dla tradycyjnych protez. Dzięki natychmiastowemu obciążeniu, często możliwe jest wykonanie nowego uśmiechu nawet w ciągu jednego dnia.

W ramach leczenia stosuje się nowoczesne technologie, a gotowy most na implantach może być dostosowany do łuku zębowego pacjenta, przy zachowaniu naturalnej techniki all-on.
To rozwiązanie pozwala na znaczne ograniczenie konieczności wykonywania dodatkowych procedur, takich jak przeszczep kości, co skraca proces gojenia i zmniejsza dyskomfort.
Metoda All-on-6 to nowoczesne leczenie pozwalające na pełną rekonstrukcję łuku zębowego. Polega na umieszczeniu sześciu implantów dentystycznych, które stanowią solidne podparcie dla trwałego mostu na implantach. Jest to świetna alternatywa dla pacjentów z brakiem zębów, którzy nie chcą korzystać z tradycyjnych protez.
Dzięki zastosowaniu uzupełnienia na 6 implantach zamiast przestarzałych rozwiązań, pacjent może cieszyć się stabilnością, komfortem oraz estetyką, które przypominają naturalne zęby.

Cały plan leczenia składa się z kilku etapów, zapewniających zarówno estetykę, jak i komfort pacjentów.
Pierwszym krokiem jest wizyta w gabinecie stomatologicznym, podczas której przeprowadzana jest szczegółowa diagnostyka, w tym m.in. tomografia komputerowa CBCT. Na podstawie wyników przygotowywany jest indywidualny plan leczenia, uwzględniający m.in. ilość braków zębowych, stan jamy ustnej pacjenta, oraz konieczność ewentualnego przeszczepu kości i innych zabiegów regeneracyjnych.
Następnie lekarz wykonuje wszczepienie sześciu implantów stomatologicznych, które będą stanowiły trwałe podparcie dla mostu odtwarzającego pełne uzębienie. Implanty są precyzyjnie osadzane w kości szczęki lub żuchwy. Aby uzyskać idealne spozycjonowanie uwzgledniające budowę kości oraz obecność struktur anatomicznych używa się szablonów chirurgicznych.
W wielu przypadkach możliwe jest natychmiastowe obciążenie implantów – pacjent otrzymuje tymczasową pracę protetyczną jeszcze tego samego dnia. Dzięki temu nie musi mierzyć się z problemem braku zębów i może od razu cieszyć się estetycznym uśmiechem.
W kolejnych miesiącach trwa proces gojenia, czyli osteointegracja, w czasie którego implanty trwale łączą się z kością. Ten etap wpływa na trwałość i stabilność całego rozwiązania protetycznego.
Po zakończeniu integracji zakładana jest docelowa praca protetyczna na implantach, idealnie dopasowana do kształtu łuku zębowego pacjenta. Takie uzupełnienie zapewnia:

Brak konieczności korzystania z tradycyjnych protez
Dzięki zastosowaniu 6 implantów dentystycznych, pacjent otrzymuje trwałe uzupełnienie bez ryzyka przemieszczania się protezy, co znacznie poprawia komfort życia.
Większa stabilność niż w metodzie All-on-4
Rozłożenie sił żucia na większą liczbę implantów może zapewnić lepsze podparcie i większą stabilność pracy protetycznej.
Należy jednak pamiętać, że wybór metody (All-on-4 czy All-on-6) powinien być każdorazowo oparty na dokładnej diagnostyce i możliwościach anatomicznych pacjenta – nie zawsze All-on-6 będzie klinicznie uzasadnione lub konieczne.
Ochrona kości przed zanikiem
Implanty zapobiegają zanikowi tkanki kostnej, który często występuje po utracie zębów.
Możliwość jedzenia bez ograniczeń
Pacjent może bez problemu spożywać ulubione potrawy – w przeciwieństwie do osób korzystających z tymczasowych protez lub tradycyjnych rozwiązań.
Większa pewność siebie i estetyka
Dzięki stabilności i naturalnemu wyglądowi, proteza nie przesuwa się podczas rozmowy, śmiechu czy spożywania posiłków, co pozwala pacjentowi czuć się swobodnie i pewnie w każdej sytuacji.

W niektórych przypadkach, szczególnie przy zaawansowanym zaniku kości, może zaistnieć konieczność wykonania przeszczepu kości (augmentacji) – czyli procedury odbudowującej tkankę kostną, niezbędną do stabilnego zakotwiczenia implantów dentystycznych.
Jednak jednym z dużych atutów metody All-on-6 jest to, że często umożliwia uniknięcie przeszczepu, nawet u pacjentów z niewielką ilością kości. Dzięki zastosowaniu sześciu implantów, które są precyzyjnie rozmieszczane pod odpowiednim kątem w dostępnych miejscach szczęki lub żuchwy, możliwe jest optymalne wykorzystanie istniejącej struktury kostnej.
To oznacza, że:
Oczywiście, decyzja o tym, czy przeszczep kości jest konieczny, zależy od indywidualnej sytuacji pacjenta i zostaje podjęta przez lekarza na podstawie szczegółowej diagnostyki radiologicznej, takiej jak tomografia komputerowa.

Koszt leczenia metodą All-on-6 jest ustalany indywidualnie i zależy m.in. od:
W naszej klinice wykorzystujemy sprawdzone implanty, nowoczesną diagnostykę i indywidualne podejście do każdego przypadku – dzięki temu leczenie jest efektywne, komfortowe i długotrwałe.
Jeśli chcesz poznać orientacyjną wycenę – zapraszamy na konsultację implantologiczną, po której przygotujemy spersonalizowany plan leczenia.

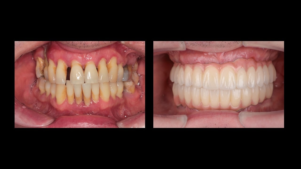
All-on-6 to jedna z najnowocześniejszych i najbardziej skutecznych metod leczenia bezzębia lub sytuacji, w której u pacjenta wszystkie zęby są przeznaczone do usunięcia, łącząca możliwości współczesnej protetyki i implantologii. Umożliwia pełną odbudowę łuku zębowego przy użyciu zaledwie sześciu implantów.
Pełen uśmiech w jeden dzień? To możliwe. Dzięki opcji natychmiastowego obciążenia, pacjenci często opuszczają gabinet już z tymczasową, estetyczną protezą – bez konieczności przechodzenia przez długie miesiące bezzębia.
Stabilność i trwałość to kluczowe atuty tej techniki. Precyzyjne rozmieszczenie sześciu implantów pozwala na równomierne rozłożenie sił żucia, co przekłada się na wyjątkową wytrzymałość i komfort codziennego użytkowania.
Naturalny wygląd i pełna funkcjonalność – protezy na implantach wyglądają jak naturalne zęby, nie przemieszczają się podczas jedzenia czy mówienia, a pacjenci odzyskują swobodę i pewność siebie.
W wielu przypadkach możliwe jest uniknięcie dodatkowych procedur, takich jak przeszczep kości, dzięki optymalnemu wykorzystaniu istniejącej tkanki i doświadczeniu zespołu chirurgicznego.
To rozwiązanie to nie tylko kwestia estetyki – to nowa jakość życia. All-on-6 zapewnia komfort, trwałość i pewność – każdego dnia.
Nie zwlekaj – umów się na konsultację implantologiczną i sprawdź, czy All-on-6 to rozwiązanie idealne dla Ciebie!
„Uśmiech, który zmienia świat - zacznijmy od Ciebie” :)
